

支持大型样品测试
集优异性能、操作简便性、多样化功能于一身;配置多种操作辅助功能,支持从装样到测试的一系列过程;随着各种自动化功能的强化,操作性能得到了进一步优化;可满足多种观察需求的探测器;标配多功能超大样品仓,支持大型样品分析;支持全视野移动,SEM MAP支持超大样品的全视野观察;可提供满足测试需求的应用解决方案;通过多功能超大样品仓,搭载丰富的附件
日立高新推出的扫描电镜SU3800/SU3900兼具操作性和扩展性,结合众多的自动化功能,可高效发挥其高性能。 SU3900标配多功能超大样品仓,可应对大型样品的观察。
本产品沿用了已经经过验证的GUI界面。另外还搭载了广受好评的SEMMAP,而且相机导航系统提供超大视野导航,为操作人员提供更加贴心顺畅的操作体验。

配备了多功能超大样品仓,可以搭载多种配件。
而且也适用于直径200mm(SU3800)、
直径300mm(SU3900)的大型样品。


通过更换样品提示,可防止由于与样品的接触而损坏设备或样品。

通过自动启动功能和自动光轴调节功能,可以快速观察。

广角相机导航覆盖了最大观测区的整个区域。

您可以顺利找到目标观察物。

除了一体化集成EDS功能*以外,还可与其他设备和软件联用。高低真空一键切换,无需手动安装压差光阑;配备空压机,全自动气阀控制。

可以将SEM/EDS/SEM MAP图像统一任意布局,根据需求个性化输出报告。

标配超大多功能样品仓。可支持In-Situ分析。
搭载了简约GUI,简单操作,如同触屏般直观。
● 从移动样品台到样品观察,轻轻点击鼠标即可实现。
● 也可触屏操作。
● 主窗口为1,280x960像素的大窗口。
● 可以切换显示模式,并且同时显示/拍摄两种不同的信号。
通过点击或拖拽实时图像上的任意位置,即可移动视野。可圈定实时图像上的任一位置,被圈定的位置可移动到视野中央并放大。

可以在GUI中同时显示或者载入任意信号。


电子枪HexBias自动偏压和固定六级偏压功能保证束流,得到低加速电压下的高质量图像。
高分辨SE像

样品:金的蒸汽沉积颗粒
低加速电压观察像

样品:CFRP
UVD像*

样品:过滤器上的油漆
低真空观察像

样品:过滤器上的油漆
*配件
光轴调整以及更换灯丝之后所需实施的各种调整工作已经实现了自动化。由此能够抑制光轴和视野的偏差,从而再也无需依靠操作人员的技能如何,都可以重现性较好地获取高质量的数据。


SU3800/SU3900配备了电子光学系统和检测系统的自动调整功能。
放入样品并抽真空之后,通过自动启动功能可以实现图像自动调整,并在电子束照射后立即获取清晰的图像。
高度自动化功能采用全新设计的演算程序,在执行图像自动调整功能时,等待时间缩短到以往的1/3以下。不需要繁琐的画像调整,可轻松获得高通量的图像数据。

全新升级的自动聚焦调整功能,即便是以往难以调整光滑样品,也能够更加轻松的取得图像。

搭载Intelligent Filament Technology(IFT)
● 自动监视灯丝的状态,自动控制使其一直处于最佳性能的状态。
● 搭载显示灯丝更换时间的显示屏。
通过该功能,使得原来难以对应的长时间连续观察以及数据分析等大范围分析均可以安心实现。

SU3800/SU3900扩展了真空模式和检测功能,以满足多样化的观察需求。除了可以安装二次电子探测器,以及在任何真空模式下都可操作的高灵敏度半导体式背散射电子探测器之外,还可以安装UVD。UVD可以获得样品凹凸信 息以及通过电子束照射产生的阴极荧光(CL信息)。

SU3800/SU3900配备了高灵敏度低真空探测器UVD。除了试料表面的凹凸图像之外,还可以通过检测电子束照射样品而产生的阴极荧光,来获取CL信息。


通过采用4分割+1单元的设计,对每个单元进行计算,无需倾斜样品,即可获得成分图像、3D图像以及4方向凹凸图像。
由于探测器的设计十分精巧,且灵敏度高,实现了高分辨率和高信噪比。

SU3800/SU3900配备了支持超大/超重样品的样品台

| SU3800 | SU3900 | |
| 最大样品尺寸 | 直径200mm | 直径300mm |
| 最大可观察范围 | 直径130mm | 直径200mm |
| 最大可搭载重量 | 2kg | 5kg(无TZR) |
| 最大可搭载的高度 | 80mm | 130mm |

GUI上显示更换样品的操作步骤。可以避免因人为的误操作而导致样品污染或损坏。即使是难以检测高度的凹凸不平的样品或者是超大样品,也能够轻松更换。


选配样品交换仓,可在主样品仓保持真空的状态下快速更换样品,大大提高了工作效率。

红外CCD探测器是用于监控样品仓内部的装置。通过使用红外线摄像机,可以在观察SEM图像的同时监视样品仓内部情况。为了获得更详细的位置,可放大CCD图像,并且移动观察位置。
SU3800/SU3900可搭载能够提高装置台移动自由度的装置台移动限制解除功能。根据操作员的判断,可以进行自由的装置台移动。
装置台移动限制解除功能可以在搭载了腔室示波器时使用。
Zigzag功能可以自动获取连续的视野。Multi Zigzag可以在样品台的多个区域设定Zigzag,在不同的视野中拍摄多张高倍率图像,并能够使用Viewer功能来拼接拍摄的图像,从而创建大视野图像。

与GUI联合的SEM MAP实现了广角相机导航*。在SEM MAP上指定观察目标位置,可以顺利地移动到指定位置上。使用大视野相机导航系统拍摄的图像或外部图像,通过自由放大或缩小图像,可以将大视野的彩色图像切换到高倍率的SEM图像。

相机导航系统通过图像拼接功能可以实现大视野的SEM MAP观察。观察区域为直径127mm(SU 3800)/直径200mm(SU3900),并且可以与样品台R一起联动,移动到大型样品的最大观察区域。

SEM MAP操作界面可直观的显示样品与探测器的位置关系,因此在观察高度差大的样品时,可根据需求旋转样品台或电子束来获得最佳的观察分析位置,避免阴影效应造成的影响。

SU3800/SU3900全新研发的SEM/EDS一体化功能,通过SEM操作界面即可完成测试位置确定、条件设置、样品分析以及生成报告等一系列操作。通过SEM的控制,可以提高测试效率,减轻了操作人员的负担。

针对更高功能的详细分析时,可链接至EDS-GUI来进行解析。只需单击图标即可与EDS-GUI无缝切换。

在Report Creator中,可以将SEM图像,EDS数据和CCD相机图像等采集的图像统一整合,生成报告。创建的报告可保存为Microsoft Office格式。保存的文件可通过Microsoft Office进行编辑。
Hitachimap 3D可对SU3800/SU3900的5分割背散射电子探测器当中的4个不同方向的SEM信号进行演算分析,生成三维图像。支持2点间高度、体积和简易表面粗糙度(面粗糙度、线粗糙度)测量。可一次性接收四个不同方向的信号,因此,无需倾斜样品台或合成图像。

SU3800/SU3901搭载了IPl,可以将SEM图像传输到由美国Media Cybernetics公司开发的图像处理软件ImagePro。只需单击一下,即可将数据从SEM传输到图像测量软件。

SU3800/SU3900可选配STEMHolder,可以在高速扫描下,获取明确STEM画像

通过加热台对样品进行加热,可原位观察样品的动态变化。

可使用Microtest300(由Gatan公司生产),在样品仓内对样品施加压力,来观察动态变化。

反渗透膜(RO膜)具有透水,而不透诸如盐类等杂质的性质。在反渗透膜的表面上有一层皮肤层,该层对分离盐和水起着重要作用。在皮肤层的表面上有大量的突起现象,通过观察可以发现,这些突起如果是湿润状态下会膨胀,但在真空环境中则会收缩(a、b)。
往由于蒸馏水而膨胀的反渗透膜上滴入离子水溶液(5%),浸透4小时后,除去多余的离子液体溶液后,进行SEM观察,可以发现肌肤层即使在高真空下也保持膨胀状态(c、d)。
(a)干燥状态的离子层(5,000倍)

(b)干燥状态的皮肤层(20,000倍)

(c)膨润状态的皮肤层(5,000倍)

(d)鹏润状态的皮肤层(20,000倍)

加速电庄:7.0kV
信号:SE
观察倍率:(a),(c)x5,000
观察倍率:(b),(d)x20,000
载物台倾斜:70
这是通过机械抛光之后进行离子研磨而制成的电子零件的截面分析示例。(a)可以通过清晰的结晶方位,确认多层镀铜层。(b)可以清楚地看到在镀铜/焊锡晶界处的合金层、无Pb焊锡的颗粒中分布的Ag粒子。
(a)观察镀铜部分的截面

加速电压:5.0kV
信号:BSE-COMPO
观察倍率:X25,000
(b)观察镀铜/焊锡晶界处的截面

加速电压:5.0kV
信号:BSE-COMPO
观察倍率:x25,000
日立复合型离子研磨仪ArBlade5000,可以通过截面研磨和平面研磨,进行所需样品的前处理。 截面研磨中,沿遮挡板边缘溅射突出边缘的部分(样品局部),由此可以获得切割均匀的截面。 平面研磨中,错开(偏心调整)离子束与样品旋转中心,可以实现截面研磨难以做到的宽范围加工。

碳纤维增强塑料(CFRP)是一种由碳纤维重叠并用树脂固化而成的复合材料,特点是轻质高强。(a)可以确认碳纤维周围的树脂分布状态。(b)是通过离子研磨仪加工处理的CFRP截面,可以发现在纵横向上,碳纤维和树脂彼此紧密地粘附,没有间隙。
(a)观察CFRP表面

加速电压:7.0 kV
信号:UVD
观察倍率:x25,000
(b)观察CFRP截面

加速电压:7.0 kV
信号:BSE-COMPO
观察倍率:X250
在通过离子铣削进行的预处理中,重复观察加工表面以确认加工状态是非常重要的。通过使用连杆支架,可以在不移除样品的情况下检查处理状态。

显示了锆石晶体在相同视野下的观察结果。在BSE图像中很难看清锆浓度的缓和偏差。但是,在CL图像中可以确认到暗色区域是对应于锆浓度较高的区域。

钛材料

加速电压:5kV
观察倍率:x800
金属断裂面

加速电压:7kV
观察倍率:x10,000
VTiO2

加速电压:8kV
观察倍率:x50,000
Al2O3

加速电压:8kV
观察倍率:X32,000
粘接面

加速电庄:15kV
观察倍率:X550
电子零件

加速电压:15kV
观察倍率:x15
霉菌

加速电压:4kV
观察倍率:x470
霉菌

加速电压:1.2kV
观察倍率:X5,000
霉菌

加速电压:4kV
观察倍率:x470
霉菌

加速电压:1.2kV
观察倍率:X5,000
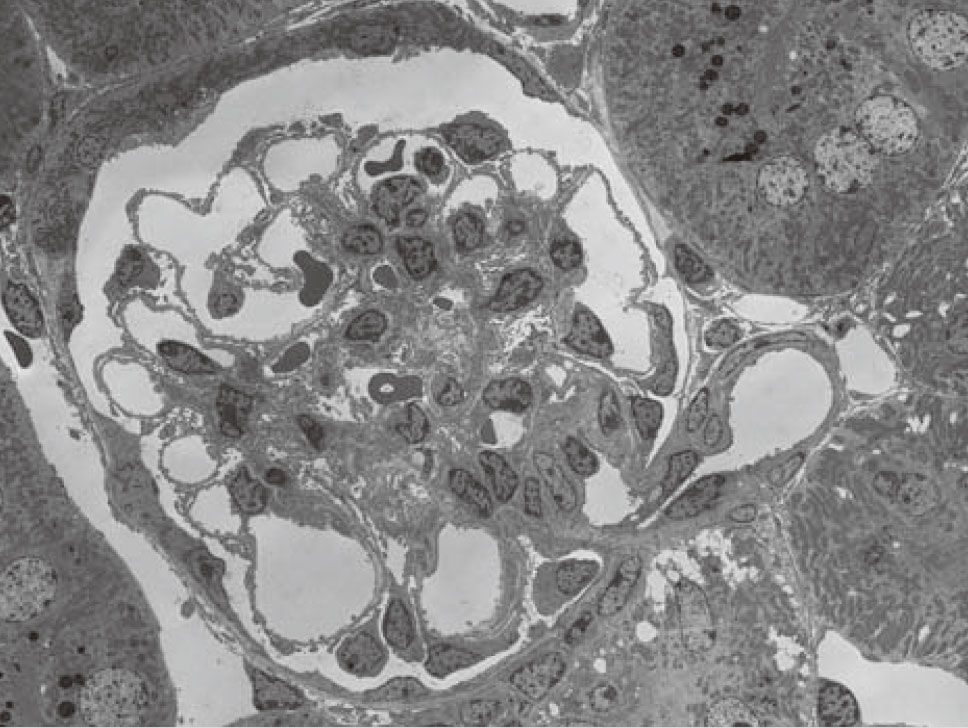
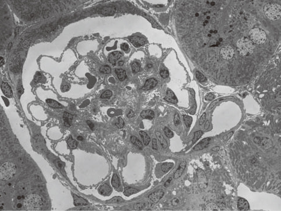
肾脏切片

加速电压:30kV
观察倍率:x1,300
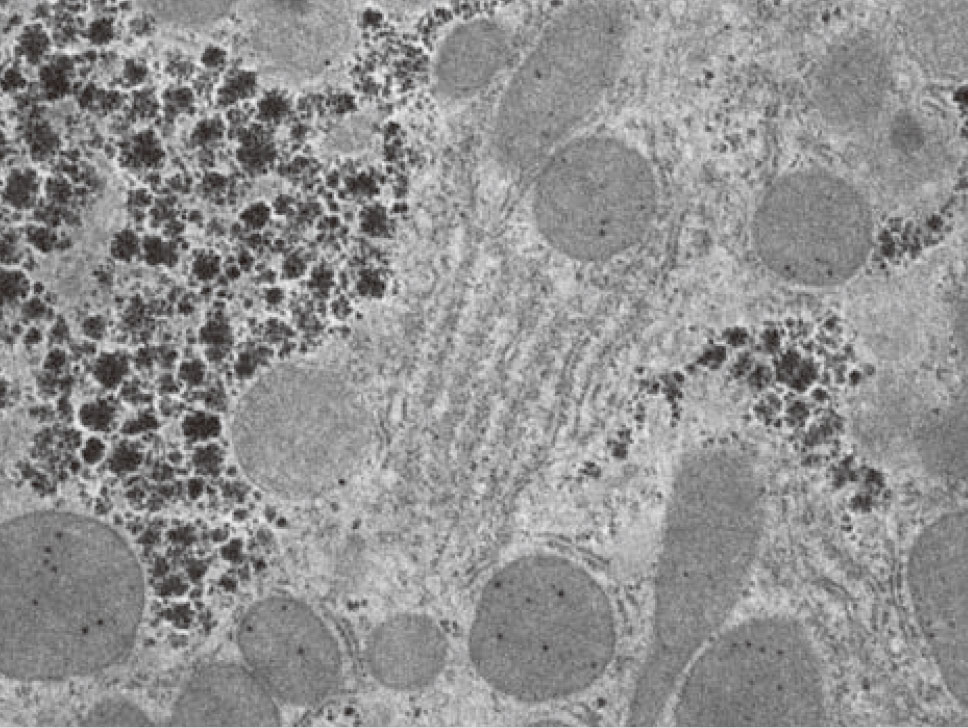
肝脏切片

加速电压:30kV
观察倍率:X25,000
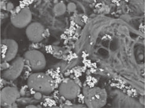
片剂

加速电庄:20kV
观察倍率:X7
藻类

加速电压:8kV
观察倍率:1,300

| ITEM | SU3800 | SU3900 | |
| 二级电子分解能 | 3.0nm(加速电压30kV、WD=5mm、高真空模式) | ||
| 15.0nm(加速电压1kV、WD=5mm、高真空模式) | |||
| 背散射电子分解能 | 4.0nm(加速电压30kV、WD=5mm、低真空模式) | ||
| 倍率 | X5~x300,000(照片倍率*1) | ||
| X7~800,000(实际显示倍率*2) | |||
| 加速电压 | 0.3kV~30kV | ||
| 低真空度设定 | 6~650 Pa | ||
| 图像位移 | 土50um(WD=10mm) | ||
| 最大样品尺寸 | 200mm直径 | 300mm直径 | |
| 样品台 | X | 0~100mm | 0~150mm |
| Y | 0~50mm | 0~150mm | |
| Z | 5~65mm | 5~85mm | |
| R | 360°连续 | ||
| T | -20°~+90° | ||
| 最大可观察范围 | 130mm直径(R并用) | 200mm直径(R并用) | |
| 最大可观察高度 | 80mm(WD=10mm) | 130mm(WD=10mm) | |
| 电机驱动 | 5轴电机驱动 | ||
| 电子光学系统 | 电子枪 | 中心操控式钨丝发射 | |
| 物像镜头光圈 | 4孔可动光圈 | ||
| 检测系统 | 二级电子检测器、高灵敏半导体背散射电子检测器 | ||
| EDX分析WD | WD=10mm(T.0.A=35°) | ||
| 图像显示 | 自动光轴调整功能 | 自动光束调整(AFSABAAFCABCC) | |
| 自动光轴调整(实时级别对齐) | |||
| 自动调整光束亮度 | |||
| 自动图像调整功能 | 自动亮度和对比度控制(ABCC) | ||
| 自动对焦控制(AFC) | |||
| 自动标记和焦点功能(ASF) | |||
| 自动灯丝饱和度调整(AFS) | |||
| 自动光束对准(ABA) | |||
| 自动启动 (HV-ONABCCAFC) | |||
| 操作辅助功能 | 光机旋转、动态聚焦、图像质量改善功能、数据输入(点对点测量、角度测量、文本)、预设放大、样品台位置导航功能(SEMMAP)、光束标记功能 | ||
| 配件 | 硬件:轨迹球、操纵杆、操作面板、压缩机、高灵敏度操作低真空探测器(UVD)、红外CCD探测器、摄像机导航系统 软件:SEM数据管理器外部通讯接口、3D捕获、装置台移动限制解除功能、EDS集成 | ||
| 配件(外部装置) | 能量散射X射线分析仪(EDS)、波长色散X射线分析仪(WDS)、各种外部功能台(加热台、冷却台、牵引台) | ||
*1:指定放大倍率为127mmx95 mm(4x5照片尺寸)的显示尺寸。*2:指定放大倍率为509.8mmx286.7mm(1,920x1,080像素)的显示尺寸。